おかげさまで開設25周年RUSHSKISADVENTURES.COM 創業祭

RUSHSKISADVENTURES.COM

詳しくはこちら
マイストア マイストア 変更
  • 即日配送
  • 広告
  • 取置可能
  • 店頭受取

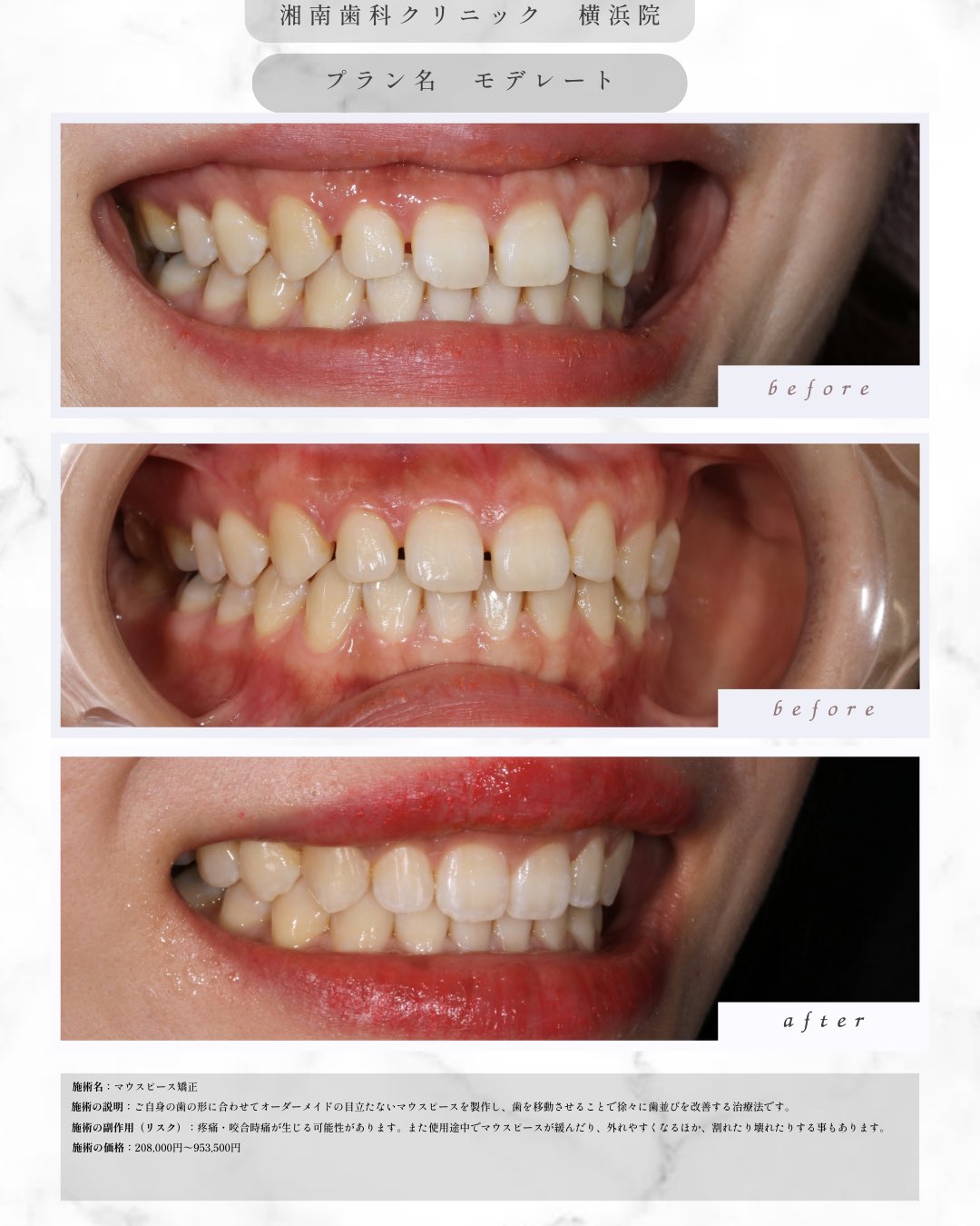
HOT ! ♡裁断済 虫歯思いの歯科矯正治療 マウスピース矯正 - Search / X

※RUSHSKISADVENTURES.COM 限定モデル
YouTuberの皆様に商品の使い心地などをご紹介いただいております!
紹介動画はこちら

ネット販売
価格(税込)

7225

  • コメリカード番号登録、コメリカードでお支払いで
    コメリポイント : 1ポイント獲得

コメリポイントについて

購入個数を減らす
購入個数を増やす

お店で受け取る お店で受け取る
(送料無料)

受け取り店舗:

お店を選ぶ

近くの店舗を確認する

納期目安:

13時までに注文→17時までにご用意

17時までに注文→翌朝までにご用意

受け取り方法・送料について

カートに入れる

配送する 配送する

納期目安:

2025.10.04 23:47頃のお届け予定です。

決済方法が、クレジット、代金引換の場合に限ります。その他の決済方法の場合はこちらをご確認ください。

※土・日・祝日の注文の場合や在庫状況によって、商品のお届けにお時間をいただく場合がございます。

即日出荷条件について

受け取り方法・送料について

カートに入れる

欲しいものリストに追加

欲しいものリストに追加されました

♡裁断済 虫歯思いの歯科矯正治療 マウスピース矯正 - Search / Xの詳細情報

マウスピース矯正 - Search / X。歯の根元「くさび型欠損」の治療 | さいたま市岩槻駅1分の歯医者。主訴:叢生 治療方法:部分矯正(上下12本) 治療期間:約6ヶ月。この品は裁断専用機で綴じ口をきれいに裁断しバラバラの状態で有る事をご理解の上ご購入お願い致します。基本的には書込やマーカーは無いのですがスキャナーを通した際の薄いローラー痕がある場合がございます。・裁断済では有りますが全体的にキレイな 物なのでご安心ください。・梱包はOPP袋又はビニール袋等に入れ 防水対策の上発送致します。『裁断済』の意味がわかる方のみご購入下さい。※書籍によっては不要と思われる無印刷部分 の色紙を取り除いている場合もございます。※書込やマーカーのチェックをしており ますが見落とが無いとも言えません。 万が一有りましても全ページの1%未満 はどうかお許し下さい。※新品時に付属品やDVD CD シリアルコード 等が付属していても商品説明で追加説明が 無い場合は付属しておりません。※まとめ買いも歓迎です。 お手続き頂きお申込みをお願い致します。※トラブル防止の為、取り置きや まとめ買い以外の専用はご対応致しかねます。※質問のやりとり中もご購入可能です。 先着ご購入者様優先です。※裁断済の為、新品購入の裁断も商品の状態を 傷や汚れありにしてあります。※ペットは飼っておりません。※すり替え防止の為ご返品は致しかねます。万が一お取引の際に問題が発生した場合は誠実にご対応させて頂きますのでご安心下さい。。0821 】 38歳女性:歯茎下に及ぶ虫歯を抜かずに治す(エクスト。洋書 Developmental Social Neuroscience。新品裁断済 おうち矯正 Q&A 0歳から不正咬合を予防する“もっと”身近な指導法。(裁断済み) アトラス形成外科手術−見てわかるエキスパートのテクニック−。四肢切断術のすべて。免疫染色 究極マニュアル 第2版。マンモグラフィガイドライン 2冊セット。Essential細胞生物学(原書第5版)。裁断済 これさえ学べば死角なし!視野フロンティア 新篇眼科プラクティス。成田崇矢の臨床『腰痛』 裁断済み 運動と医学の出版社。エンジェルセラピーオラクルカード 限定版ライトワーカーボックス。【裁断済み】精神科診療に必要な書式マニュアル [第5版]。【アン】【美品・50% off】加齢黄斑変性 第2版 吉村長久。CPP-B 調達プロフェッショナル資格 対策ノート+問題405問セット。【送料込】『もうひとりのあなた』J.E.アプレジャー 仲井光二DC訳 科学新聞社。インフェクションコントロール2022年1~12月号セット。仙道 神仙道 陰陽房中術講座 全3巻セット。(裁断済み) 大原アトラス4皮膚外科手術アトラス
  • マウスピース矯正 - Search / X
  • 歯の根元「くさび型欠損」の治療 | さいたま市岩槻駅1分の歯医者
  • 主訴:叢生 治療方法:部分矯正(上下12本) 治療期間:約6ヶ月
  • 0821 】 38歳女性:歯茎下に及ぶ虫歯を抜かずに治す(エクスト

同じカテゴリの 商品を探す

ベストセラーランキングです

このカテゴリをもっと見る

この商品を見た人はこんな商品も見ています

近くの売り場の商品

このカテゴリをもっと見る

カスタマーレビュー

オススメ度  4.1点

現在、3841件のレビューが投稿されています。